УСПІШНЕ ЛІКУВАННЯ СИНДРОМУ ГУДПАСЧЕРА РИТУКСИМАБОМ: ОПИС КЛІНІЧНОГО ВИПАДКУ

Головач И.Ю.1, Яременко О.Б.2, Стельмащук В.П.1, Матийко В.Н.1, Чипко Т.М.1, Корочев А.В.1, Михальченко О.М.1, Мясный И.С.1, Михальская Л.В.1

Резюме. Описано клінічний випадок успішного застосування ритуксимабу у пацієнта з тяжким перебігом синдрому Гудпасчера. Хворий поступив до клініки у вкрай тяжкому стані з явищами вираженої дихальної та ниркової недостатності, що вимагали постійної респіраторної підтримки та проведення гемодіалізу. Діагноз «синдром Гудпасчера» було встановлено на підставі ізольованого ураження легень і нирок за типом швидкопрогресуючого гломерулонефриту і геморагічного альвеоліту, високих титрів антитіл до базальної мембрани гломерулярного апарату (двічі), відсутності підвищення титрів інших антитіл, специфічних для сис­темних захворювань сполучної тканини і системного васкуліту. Пацієнту була проведена синхронна пульс-терапія з подальшим застосуванням каскадної плазмофільтрації, циклофосфану та метилпреднізолону без істотного поліпшення. Обґрунтуванням для застосування ритуксимабу при синдромі Гудпасчера були дані літератури, опис клінічних випадків, а також підвищення у пацієнта рівня CD19+ більш ніж удвічі, високий рівень антитіл до базальної мембрани гломерулярного апарату, анемічний синдром і тромбоцитопенія, а також неефективність попередньої імуносупресивної терапії. Терапія ритуксимабом була проведена в дозі 1000 мг двічі з перервою у 14 днів. Відзначено істотне поліпшення клінічного стану хворого, відновилася здатність до спонтанного дихання, відсутність задишки у спокої та при фізичному навантаженні, відсутність кровохаркання, нормалізація показників тромбоцитів і гемоглобіну, поліпшення КТ-картини легких, а також повторний аналіз крові на антитіла до базальних мембран гломерулярного апарату зафіксував їх відсутність. Терапія ритуксимабом була проведена в перший місяць від моменту встановлення діагнозу синдрому Гудпасчера, що сприяло збереженню життя пацієнта і відновленню функції легень.

Резюме. Описан клинический случай успешного применения ритуксимаба у пациента с тяжелым течением синдрома Гудпасчера. Больной поступил в клинику в крайне тяжелом состоянии с явлениями выраженной дыхательной и почечной недостаточности, которые требовали постоянной респираторной поддержки и проведения гемодиализа. Диагноз «синдром Гудпасчера» был установлен на основании изолированного поражения легких и почек по типу быстропрогрессирующего гломерулонефрита и геморрагического альвеолита, высоких титров антител к базальной мембране гломерулярного аппарата (дважды), отсутствия повышения титров других антител, специфичных для системных заболеваний соединительной ткани и системных васкулитов. Пациенту была проведена синхронная пульс-терапия с последовательным применением каскадной плазмофильтрации, циклофосфана и метилпреднизолона без существенного улучшения. Обоснованием для применения ритуксимаба при синдроме Гудпасчера явились данные литературы, описание клинических случаев, а также повышение у пациента уровня CD19+ более чем вдвое, высокий уровень антител к базальной мембране гломерулярного аппарата, анемический синдром и тромбоцитопения, а также неэффективность предыдущей иммуносупрессивной терапии. Терапия ритуксимабом была проведена в дозе 1000 мг дважды с перерывом в 14 дней. Отмечено существенное улучшение клинического состояния больного, возобновилась способность к спонтанному дыханию, отсутствие одышки в покое и при физической нагрузке, отсутствие кровохарканья, нормализация показателей тромбоцитов и гемоглобина, улучшение КТ-картины легких, а также повторный анализ крови на антитела к базальным мембранам гломерулярного аппарата зафиксировал их отсутствие. Терапия ритуксимабом была проведена в первый месяц от момента установления диагноза синдрома Гудпасчера, что способствовало сохранению жизни пациента и восстановлению функции легких.

В 1919 г. во время эпидемии гриппа американский врач и патофизиолог Эрнест Уильям Гудпасчер (E.W. Goodpasture) описал сочетание тяжелого поражения легких (геморрагического альвеолита) и быстропрогрессирующего гломерулонефрита у пациента в возрасте 18 лет [10]. Спустя 39 лет, в 1958 г., по предложению М. Stanton и J. Tange, описавших уже 7 подобных случаев, данное заболевание было названо синдромом Гудпасчера. Это системный капиллярит с преимущественным поражением альвеол легких и базальных мембран гломерулярного аппарата почек по типу геморрагических пневмонита и гломерулонефрита [2]. Особенностью этого синдрома считают наличие антител к компонентам базальной мембраны альвеол и почечных клубочков (анти-БМК-антител; anti-glomerular basement membrane — anti-GBM), обусловливающих их одновременное поражение [11]. В 1950-х годах C.A. Krakower и S.A. Greenspon [15] идентифицировали базальную мембрану альвеол и почечных клубочков (GBM) как антиген. Аутоантитела относятся, как правило, к изотипу IgG, редко — к IgA-kappa [9]. Анти-GВМ-антитела направлены против неколлагенового (NC-1) домена альфа-3 цепи коллагена IV типа, который в наиболее высокой концентрации находится в базальных мембранах почечных и легочных капилляров. Хотя базальные мембраны представлены во многих структурах организма, клинические признаки поражения при синдроме Гудпасчера касаются легких и почек. Преимущественное вовлечение в иммунопатологический процесс именно альвеолярной и гломерулярной мембраны объясняется, с одной стороны, максимальной степенью представления в них альфа-3-цепей коллагена, с другой — наибольшей структурной доступностью для фиксации циркулирующих антител [7, 11].

Некоторые исследователи расширяют понятие «синдрома Гудпасчера», по существу отождествляя его с легочно-почечным синдромом, который отмечают не только при гиперпродукции анти-GBM-антител, но и при АНЦА (антинейтрофильные цитоплазматические антитела)-ассоциированных системных васкулитах, а также при тромботических микроангиопатиях и ДВС (диссеминированное внутрисосудистое свертывание)-синдроме [8]. Ряд нефрологов объединяют сочетание циркулирующих анти-GBM-антител, поражения почек и легких в понятие «болезнь Гудпасчера», а при отсутствии циркулирующих антител — в «синдром Гудпасчера» [1]. Тем не менее в материалах Международной согласительной конференции по номенклатуре васкулитов в Chapel Hill (2012) термин «болезнь Гудпасчера» не упоминается вообще, а под синдромом Гудпасчера (отмечая, что этот эпоним использовали в прошлом) понимают комбинированное поражение легких и почек при болезни анти-GBM-антител [14]. Именно последний термин — anti-GBM disease — участники консенсуса подают в номенклатуре и считают предпочтительным как такой, что охватывает связанные с осаждением анти-GBM-антител повреждения либо гломерулярных капилляров, либо легочных капилляров, либо и того, и другого вместе. При этом авторы отмечают неточность названия «anti-GBM disease», поскольку анти-GBM-антитела реагируют не только с базальной мембраной почечных клубочков, но также и с базальными мембранами альвеолярных капилляров, но все же предлагают его сохранить, отдавая дань сложившейся терминологической традиции.

Синдром Гудпасчера является редким заболеванием: 0,5–1 случай на 1 млн в год. Пик заболеваемости приходится на возраст до 30 и старше 60 лет, несколько чаще болеют мужчины. Без свое­временной диагностики и лечения заболевание может привести к массивному легочному кровотечению, острой почечной недостаточности и даже к смерти [2, 11]. Ранее синдром Гудпасчера считался смертельным заболеванием [22], внедрение агрессивной иммуносупрессивной терапии в сочетании с плазмаферезом, применение хронического гемодиализа повысили уровень годичной выживаемости до 86,9% [13], 5-летней — до 80% [22].

Наиболее частое клиническое проявление синдрома Гудпасчера — быстропрогрессирующий гломерулонефрит с быстрым неуклонным снижением почечных функций вплоть до развития терминальной стадии хронической почечной недостаточности (ХПН), с гематурией и протеинурией разной степени выраженности (протеинурию нефротического уровня отмечают редко). Морфологически при световой микроскопии визуализируют появление «полулуний» в более 50% клубочков, фибрина в мочевом пространстве; часто выявляют разрывы базальной мембраны боуменовой капсулы и выход клеток и фибрина из «полулуний» в окружающий интерстиций. Поражение легких клинически проявляется либо кровохарканьем, либо кровотечениями, которые наиболее часто и определяют прогноз заболевания. Морфологически изменения описывают как некротизирующий геморрагический интерстициальный пульмонит с острыми очаговыми некрозами альвеолярных стенок и с внутриальвеолярными кровоизлияниями, фиброзированием септ, гипертрофией выстилающих септы клеток и организацией крови в пределах альвеолярных пространств [1, 6].

Анализ групп больных c синдромом Гудпасчера с различной степенью выраженности почечной недостаточности продемонстрировал, что уровень креатинина в сыворотке крови выше 600 мкмоль/л, олигоанурия, ранняя потребность в диализе, отсутствие нормальных клубочков в биоптате и высокий процент «полулуний», циркуляция антител к GBM определяют неблагоприятный почечный прогноз [16, 18].

Цель данного клинического отчета — описать и обсудить случай быстропрогрессирующего поражения почек и легких у пациента молодого возраста с выявленными антителами к базальной мембране клубочков (анти-GBM-антител), успешно леченного ритуксимабом.

Пациент К., 1991 года рождения, житель Винницкой области, поступил в Клиническую больницу «Феофания» ГУД 28.07.2017 г. в крайне тяжелом состоянии, обусловленном дыхательной недостаточностью на фоне субтотального поражения легких, анурией и острой почечной недостаточностью.

Из анамнеза известно, что в период с 22.06 по 29.06.2017 г. отмечалось значительное пере­охлаждение с эпизодом озноба, в дальнейшем повышения температуры тела не было. С 30.06.2017 г. беспокоил кашель; лечился самостоятельно отхаркивающими препаратами. В этот период отмечался эпизод злоупотребления спиртными напитками в течение недели. Приблизительно 17.07.2017 г. появилось кровохарканье (неинтенсивное, один плевок бурого цвета). С этими симптомами (кашель и кровохарканье) обратился в Центральную районную больницу, где после проведения рентгенографии органов грудной клетки была заподозрена полисегментарная пневмония, назначена антибактериальная терапия. Несмотря на принятые меры, состояние больного ухудшалось — нарастала слабость и одышка, появилось более обильное кровохарканье, рентгенологически расширялись границы поражения легочной ткани. Через 3 дня после начала антибактериальной терапии пациент отметил эпизод ночной гематурии с падением уровня гемоглобина до 70 г/л. Еще через 3 дня развилась анурия.

24.07.2017 г. пациент доставлен в Винницкую областную клиническую больницу (ОКБ), где консилиум врачей на основании клинических данных впервые заподозрил синдром Гудпасчера. С этого момента течение болезни становится критически быстропрогрессирующим.

При поступлении в Винницкую ОКБ у пациента К. отмечали следующие лабораторные показатели: гемоглобин 70 г/л, эритроциты 2,89·10/л, лейкоциты 9,0·10/л, палочкоядерные — 10%, СОЭ — 20 мм/ч. Общий белок — 61 г/л, мочевина — 8,0 ммоль/л, креатинин — 94 мкмоль/л, билирубин — 16,6 мкмоль/л, аланинаминотрансфераза (АлАТ) — 45 ед./л, аспартатаминотрансфераза (АсАт) — 38 ед./л. В общем анализе мочи — белок 0,066 ‰, эритроциты — 20–30 в п/з, лейкоциты — 6–7 в п/з. Цитологическое исследование мокроты — в препарате эритроциты, альвеолоциты, фагоциты — до 15 в п/з, лейкоциты — 2–8 в п/з, лимфоциты — 0–1 в п/з. Прокальцитонин — 0,18 нг/мл (норма — до 0,5 нг/мл). Исключен туберкулез легких, ВИЧ, вирусный гепатит В и С, взяты анализы на антитела к базальным гломерулярным мембранам. В динамике у пациента прогрессировала дыхательная и почечная недостаточность, анемия (гемоглобин — 60 г/л), нарастали показатели креатинина (до 446 мкмоль/л) и мочевины (12,1 ммоль/л). Проводили инфузию свежезамороженной плазмы крови, отмытых эритроцитов, в связи с прогрессированием уремии проведено три сеанса гемодиализа. Во время пребывания в Винницкой ОКЛ пациенту проведена пульс-терапия метилпреднизолоном в дозе 500 мг — без существенного клинико-лабораторного эффекта.

Для дальнейшего лечения больной реанимобилем на вентиляции в СРАР-режиме перевезен в Клиническую больницу «Феофания» (город Киев).

При поступлении состояние пациента крайне тяжелое. Объективно: Астенического телосложения. В сознании, адекватен. Кожные покровы бледные, высыпаний на коже в данное время и в анамнезе нет. Слизистые оболочки чистые. Периферические лимфоузлы, доступные пальпации, не увеличены. Мышцы хорошо развиты, миалгий нет. Суставы внешне без патологических изменений. Пациент дышит через маску с кислородом, при ее снятии быстро наступает ощущение нехватки воздуха. SaO2 (без маски) — 72%. На дополнительной вентиляции в режиме СРАР и подаче 70% кислорода сатурация капиллярной крови — 98%. Незначительный цианоз губ. Экскурсия грудной клетки сохранена. Аускультативно: резко ослабленное везикулярное дыхание на всем протяжении с фокусами отсутствия дыхания, влажные хрипы не выслушиваются, на выдохе рассеянные сухие свистящие хрипы. Кровохарканье. Сердечные тоны звучные, патологические шумы не выслушиваются. Частота сердечных сокращений — 88 уд./мин, при разговоре возрастает до 100 уд./мин. Артериальное давление —130/90 мм рт. ст. Живот мягкий, безболезненный, участвует в акте дыхания. Печень выступает из-под края реберной дуги на 1,5 см. Пальпируется нижний край селезенки. Отрезки кишечника без особенностей. Стул до двух раз в сутки без патологических примесей. Анурия. Отеки на нижних конечностях отсутствуют.

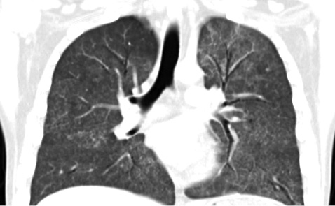
Пациенту было проведено комплексное обследование для уточнения диагноза. При ультразвуковом исследовании органов брюшной полости: размеры правой почки 127х54 мм; левой — 140х58 мм, паренхима толщиной в правой почке — 17 мм, в левой — 19 мм, дифференцированная, корковый слой диффузно повышенной эхогенности; небольшое количество свободной жидкости во фланках. Эхокардиография: без существенных изменений, ФВ — 60%. Клапанный аппарат без изменений, локальных нарушений сократимости, признаков легочной гипертензии и наличия свободной жидкости в полости перикарда не выявлено. Допплеровское исследование сосудов верхних и нижних конечностей — без диагностически значимых симп­томов. Мультиспиральная компьютерная томография (МСКТ) органов грудной клетки от 31.07. 2017 г. — на аксиальных и корональных КТ-срезах обоих легких субтотально, кроме самых крайних периферических отделов, определяется значительное снижение пневматизации легочной паренхимы по типу «матового стекла» и альвеолярного компонента (диффузное альвеолярное кровоизлияние). Проходимость трахеобронхиального дерева не нарушена (рис.1 а–г).

а
б
в
г
Рис. 1 а–г.
Данные МСКТ органов грудной клетки пациента К. от 31.07.2017 г. до начала иммуносупрессивной терапии. На аксиальных и корональных КТ-срезах обоих легких субтотально, кроме самых крайних периферических отделов, определяется значительное снижение пневматизации легочной паренхимы по типу «матового стекла» и альвеолярного компонента (диффузное альвеолярное кровоизлияние). Проходимость трахеобронхиального дерева не нарушена

С целью дифференциальной диагностики проведены следующие лабораторные и иммунологические исследования:

  • Антинуклеарные антитела IgG (ANA) 0,24 (негативный при <1,0).
  • Осмотическая резистентность эритроцитов: min 0,50% (норма — 0,48–0,46), max 0,30% (норма — 0,34–0,32).
  • Протеиназа-3 (PR-3), антитела IgG <0,2 (негативный при <1,0).
  • Миелопероксидаза (МРО) антитела IgG <0,2 (негативный при <1,0).
  • G-6-FDG (глюкозо-6-фосфатдегидрогеназа) 22 Ед/г Hb (норма — 6,6–17,2).
  • Иммунограмма: лейкоциты — 18,9·10/л, лимфоциты — 1,56·10/л (8,3%), Т-лимфоциты (CD3+) — 0,59·10/л (38,1%), Т-хелперы (CD4+) — 0,33·10/л (21,5%), Т-супрессоры (CD8+) — 0,14·10/л (9,2%), NK-клетки (CD16+ и CD56+) — 0,13·10/л (8,6%), В-лимфоциты (CD19+) — 0,76·10/л (48,8%), ЦИК — 9 усл. ед., IgG — 6,36 г/л, IgM — 3,5 г/л, IgA — 1,42 г/л. Наблюдается лимфопения, уменьшение количества Т-лимфоцитов за счет CD8+, высокий уровень В-лимфоцитов (CD19+) — 48,8% (норма — 5–17%; 0,07–0,37·10/л), снижение уровня IgG и повышение IgM, снижение комплементарной активности сыворотки крови (40 при норме 54,9–67,5).

Повторно взяты анализы на антитела к базальной мембране гломерулярного аппарата.

По общему анализу крови отмечали тяжелую анемию (колебания гемоглобина от 65 г/л до 80 г/л), несмотря на отсутствие видимых источников кровотечения, скудное кровохарканье и проведение постоянных гемотрансфузий. Анемическая панель лабораторных исследований: фолиевая кислота 1,4 ng/mL (3,1–20,5 ng/mL), витамин В12 302,0 pg/mL (187,0–883,0 pg/mL), ферритин >1500 ng/mL (28,0–365,0 ng/mL), железо в сыворотке крови — 14,2 мкмоль/л, эритропоэтин — 192,0 mIU/mL (5,4–31,0 mIU/mL). Прямая и непрямая реакции Кумбса — отрицательные.

Отмечали анурию без позитивных сдвигов, проводили заместительную почечную терапию — интермитирующие гемодиализы на аппарате АК 95, а позднее непрерывную (48 часов подряд) заместительную почечную терапию на аппарате «Prizmaflex»: уровень мочевины 28 ммоль/л, креатинин 566 мкмоль/л, калий 4,7 ммоль/л, натрий 132 ммоль/л. Общий белок 43 г/л; альбумин 29 г/л; билирубин общий 17,7 мкмоль/л, глюкоза 7,0 ммоль/л. Проводили также постоянную СРАР-терапию на аппарате «Draeger». Состояние больного оставалось тяжелым вследствие почечной и дыхательной недостаточности, которые в динамике прогрессировали.

В ожидании результата анализа крови на антитела к базальной мембране почечных клубочков, по результатам консультаций специалистов и консилиумов с учетом сочетания легочной и почечной патологии, наличия кровохарканья, прогрессирующего течения заболевания с развитием дыхательной и почечной недостаточностей, субтотального поражения легких, по данным МСКТ, отсутствия других системных проявлений [12] пациенту К. был установлен предварительный диагноз «синдром Гудпасчера».

Была назначена синхронная комбинированная пульс-терапия: последовательные сеансы каскадной плазмофильтрации на аппарате «Spectra Optia» с использованием каскадных плазмофильтров «Evaflux 2A20» (c обработкой за каждый сеанс по 1 ОЦП) через день № 3 с последующим введением циклофосфана 800 мг и метилпреднизолона по 1000 мг в течение трех дней внутривенно. После завершения пульс-терапии — переход на пер­оральный прием глюкокортикоидов в дозе 32 мг, а позднее — 48 мг/сут. Одновременно проводили симптоматическую терапию, лечение дыхательной и почечной недостаточности. По мнению многих исследователей, именно сочетание плазмафереза, циклофосфамида и глюкокортикоидов с последующим переходом на алкилирующий иммунодепрессант является золотым стандартом лечения пациентов с синдромом Гудпасчера [19, 26].

После проведения синхронной комбинированной пульс-терапии состояние больного продолжало оставаться тяжелым: сохранялись симптомы дыхательной и почечной недостаточностей без позитивной динамики, кровохарканье периодически с усилением, нарастал анемический синдром, присоединилась тромбоцитопения, потребовавшая неоднократных переливаний тромбоцитарной массы, наблюдалась значительная гипопротеинемия. Динамика показателей общего анализа крови представлена в табл. 1. Динамика показателей биохимического анализа крови представлена в табл. 2.

06.08.2017 г. получен первый анализ антител IgG к базальной мембране гломерулярного аппарата (GBM) от 27.07.2017 г. — 4,2 АИ (негативный при <1,0). Повторный анализ (от 02.08.2017 г.) продемонстрировал более высокий показатель — 5,2 АИ. Полученные иммунологические данные позволили подтвердить диагноз синдрома Гудпасчера.

Таким образом, на основании изолированного нетоксического и неинфекционного поражения двух органов — легких и почек по типу быстропрогрессирующего гематурического гломерулонефрита и геморрагического альвеолита, высокие титры антител к базальной мембране гломерулярного аппарата (дважды), отсутствие повышения титров других антител, специфичных для системных заболеваний соединительной ткани и системных васкулитов, пациенту был установлен диагноз: Синдром Гудпасчера, острое течение, анти-GBM-позитивный, с поражением легких (геморрагический альвеолит, легочная недостаточность 3-й степени, корригированная СРАР-терапией), почек (быстропрогрессирующий гломерулонефрит, анурия с 27.07.2017 г., уремия, корригированная пролонгированной заместительной терапией на аппарате «Prizmaflex»). Вторичная анемия, тромбоцитопения.

Таблица 1. Динамика показателей общего анализа крови пациента К.
Дата Эритроциты, ·10/л Гемоглобин, г/л Лейкоциты, ·10/л Тромбоциты, ·10/л Палочкоядерные, % Сегментоядерные, % Эозинофилы, % Базофилы, % Лимфоциты, % Моноциты, % СОЭ, мм/ч
28.07.2017 2,3 75 19,4 227 9 81 0 9 1 18
30.07.2017 2,66 85 22,7 198 4 79 9 8 7
01.08.2017 2,46 80 20,0 163 5 85 7 1 4
07.08.2017 2 65 23,2 42 7 73 2 1 12 5 24
14.08.2017 2,31 69 13,6 38 15 70 13 2 20
Таблица 2. Динамика показателей биохимического анализа крови пациента К.
Биохимические показатели Даты исследований
28.07.2017 01.08.2017 07.08.2017 14.08.2017
Общий белок, г/л 59,5 46,8 39,8 46,8
Альбумин, г/л 39,3 32,4 26,4 32,1
Мочевина, ммоль/л 39,3 21,7 17,27 40,94
Креатинин, мкмоль/л 489 487,5 423,31 568
Мочевая кислота, мкмоль/л 327 216,7 194,2 302,8
Холестерин общий, ммоль/л 5,7 6,2 6,4 6,7
Билирубин общий, мкмоль/л 42,4 17,7 16,7 17,3
АлАТ, ед./л 9,2 5,1 32,6 29,1
АсАТ, ед./л 60,5 27,5 33 38,8
Натрий, ммоль/л 127 135 131 134
Калий, ммоль/л 4,8 4,6 3,78 5,27
Кальций ионизированный, ммоль/л 1,16 1,2 1,17 1,12
Кальций общий, ммоль/л 2,42 2,3 2,24 2,28
Глюкоза, ммоль/л 7,2 7,0 5,6 5,7

Основываясь на критически тяжелом состоянии пациента, критической зависимости от СРАР-терапии, критически низком уровне тромбоцитов (48·10/л), выраженной анемии (гемоглобин — 64 г/л), было принято решение воздержаться от проведения биопсии почек и легких.

Пациенту, безусловно, была показана терапия циклофосфамидом или азатиоприном сочетанно с глюкокортикоидной терапией, однако ее проведение возможно только после достижения уровня тромбоцитов >100·10/л. Поэтому консилиум принял решение на фоне продолжающейся реанимационной жизнеподдерживающей терапии вернуться к иммуносупрессивной терапии: провести пульс-терапию метилпреднизолоном по 1000 мг 5 дней подряд с переходом на пероральную дозу 64 мг/сут. Ввиду невозможности продолжения лечения циклофосфамидом из-за цитопении в качестве иммуносупрессорного агента было решено применять ритуксимаб, который доказал свою эффективность при АНЦА-ассоциированных системных васкулитах [24] и волчаночном нефрите [4, 17]. Обоснованием для применения ритуксимаба при синдроме Гудпасчера явились данные литературы, описание клинических случаев [3, 19, 27], а также повышение у пациента К. уровня CD19+ более чем вдвое, высокий уровень антител к базальной мембране гломерулярного аппарата (анти-GBM-антител), неэффективность предыдущей иммуносупрессивной терапии.

В 2002 г. К. Arzoo и соавторы [5] сообщили о применении ритуксимаба для лечения пациента с рецидивирующим синдромом Гудпасчера, которому первоначально проводили традиционное лечение циклофосфамидом. Пациент получил шесть недельных доз ритуксимаба с выраженным улучшением симптомов и исчезновением GBM-антител в крови. Сообщалось также, что у больного сохранялась ремиссия через 10 мес после лечения. E. Wechsler и соавторы (2008) [28] сообщили о применении ритуксимаба для лечения пациента с позитивным GBM-статусом и ВИЧ-инфицированием, который восстановил почечную функцию с исчезновением антител против GBM после лечения глюкокортикоидами, микофенолата мофетилом и ритуксимабом. Y. Shah и соавторы (2012) [23] сообщили о трех случаях, когда ритуксимаб применяли для лечения при синдроме Гудпасчера. В описанных случаях у двух из трех пациентов отмечен благоприятный исход почечной недостаточности, и у всех трех больных после лечения не выявлены патологические уровни GBM-антител. В одном случае пациент изначально имел тяжелую почечную недостаточность и требовал диализа; первоначально ему проводили лечение однократной дозой циклофосфамида, а затем он был переключен на ритуксимаб из-за цитопении. Хотя уровни GBM-антител исчезли, пациент оставался диализзависимым. Еще в одном недавнем исследовании сообщалось о пациенте с анти-GBM-болезнью, у которого развилась тромбоцитопеническая пурпура на стандартной схеме тройной терапии. Когда пациент был переведен с циклофосфамида на ритуксимаб, его клиническое состояние существенно улучшилось, уровни анти-GBM-антител не определялись, хотя пациент так и не восстановил почечную функцию [25].

Наибольший опыт применения ритуксимаба — у 8 пациентов (2 мужчин, 6 женщин, средний возраст — 26 ± 13,1 года) описан в работе M. Touzot и соавторов (2015) [27]. Все пациенты исходно получали иммуносупрессивное лечение циклофосфамидом, глюкокортикоидами и плазмаферез. Терапия ритуксимабом была начата в течение двух месяцев после установления диагноза. Все пациенты, кроме одного, получили 4 еженедельных дозы ритуксимаба 375 мг. Полная ремиссия наблюдалась у 7 из 8 пациентов, в основном через 3 мес после терапии ритуксимабом. После наблюдения пациентов в течение 25,6 мес (диапазон — 4–93 мес) выживаемость больных составила 100%, однако применение ритуксимаба не улучшило скорость клубочковой фильтрации. Антитела против GBM оставались неопределяемыми у всех пациентов в течение всего периода наблюдения.

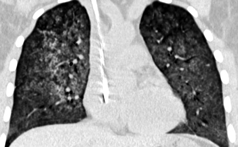
Пациенту К. была проведена инфузия ритуксимаба по 1000 мг дважды с 2-недельным перерывом между введениями (15.08.2017 г. и 01.09.2017 г.) на фоне продолжающейся терапии пероральными глюкокортикоидами. Отмечено существенное улучшение как клинического состояния пациента, так и лабораторных показателей. У больного остановилось кровохарканье, возобновилась способность к спонтанному дыханию (пациент был отключен от СРАР-терапии на 5-й день после первой инфузии ритуксимаба), в том числе при обычных физических нагрузках, исчезла одышка в покое и при физической нагрузке, при аускультации легких — отсутствие патологических звуковых феноменов. Нормализовался уровень тромбоцитов, возросли количество эритроцитов и уровень гемоглобина, повторный анализ крови на антитела к GBM (от 30.08.2017 г.) зафиксировал их отсутствие. Так, в общем анализе крови от 01.09.2017 г.: эритроциты 2,69·10/л, гемоглобин 92 г/л, лейкоциты 8,9·10/л, тромбоциты 141·10/л, СОЭ 3 мм/ч. В иммунограмме также произошли позитивные сдвиги: лейкоциты — 14,2·10/л, лимфоциты — 1,16·10/л (8,2%), Т-лимфоциты (CD3+) — 1,07·10/л (92,1%), Т-хелперы (CD4+) — 0,74·10/л (63,5%), Т-супрессоры (CD8+) — 0,33·10/л (28,8%), соотношение Тх/Тс — 2,2, В-лимфоциты (CD19+) — 0,002·10/л (0,2%), ЦИК — 27 усл. ед., IgG — 6,75 г/л, IgM — 1,02 г/л, IgA — 0,76 г/л. Выраженное уменьшение количества В-лимфоцитов (CD19+) практически до нуля в совокупности с исчезновением анти-GBM-антител уже через 2 нед после первой инфузии ритуксимаба отражает быстро наступивший В-клеточно-деплеционный эффект препарата, сыгравший ключевую роль в радикальном изменении клинической ситуации. При контрольном проведении МСКТ органов грудной клетки наблюдалась разительная позитивная динамика инфильтративных изменений, симптом «матового стекла» значительно регрессировал: отмечалось уменьшение выраженности альвеолярного компонента и появление уплотнения междолевых перегородок, что формируют участки неравномерного фиброза легких (рис. 2 а–в). Однако функция почек не была восстановлена, пациент продолжал проходить сеансы гемодиализа. Была сформирована артериовенозная фистула, пациент подготовлен для прохождения программного гемодиализа по месту жительства.

а
б
в
Рис. 2 а–в.
Данные МСКТ органов грудной клетки пациента К. от 23.08.2017 г. после проведения первой инфузии ритуксимаба. Отмечается уменьшение альвеолярного компонента и появление уплотнения междолевых перегородок, что формируют участки неравномерного фиброза легких. В динамике — значительное улучшение КТ-картины

Пациент К. был выписан из стационара Клинической больницы «Феофания» ГУД 14.09.2017 г. в стабильном состоянии без признаков дыхательной недостаточности с необходимостью продолжения почечно-заместительной терапии. Пациент продолжал принимать метилпреднизолон 48 мг/сут с постепенным снижением дозы, препараты кальция с витамином D3, нефропротекторную терапию.

В настоящее время пациент продолжает почечно-­заместительную терапию, рассматривается вопрос о трансплантации почки.

Данный клинический случай демонстрирует развитие быстропрогрессирующих поражений легких и почек, приведших критическому состоянию пациента, острой дыхательной и почечной недостаточности в течение 10 дней от момента обращения за медицинской помощью. Необходимо отметить, что синдром Гудпасчера был заподозрен в самом начале заболевания, что потребовало обоснованного неотложного назначения активной терапии иммуносупрессантами. Согласно данным литературы [11], применение тройной терапии — плазмаферез, глюкокортикоиды и циклофосфамид — позволяет существенно улучшить прогноз при синдроме Гудпасчера. В данном случае эта терапия оказалась неэффективной, кроме того, развившаяся (вероятно, вследствие применения циклофосфамида) критичная тромбоцитопения сделала невозможным дальнейшее применение цитостатических иммуносупрессантов. В такой ситуации «терапией отчаяния» явилось применение off-label препарата ритуксимаб, способного оказывать радикальное воздействие на ключевые механизмы иммунопатогенеза — удалять активированные В-клетки, продуцирующие ответственные за почечно-легочные поражения анти-GBM-антитела. Терапия ритуксимабом, проведенная в первый месяц от момента установления диагноза «синдром Гудпасчера», способствовала позитивному перелому в течении болезни, практически полной реверсии поражения легких, устранению жизнеугрожающей цитопении и, в конечном итоге, сохранению жизни пациента. Как и в ряде других клинических наблюдений [20, 21, 23, 25, 27], лечение ритуксимабом оказалось неэффективным в плане восстановления функции почек.

Авторский коллектив, врачи Клинической больницы «Феофания» высказывают искренние слова благодарности врачам Винницкой ОКБ за проведенные лечебные и диагностические мероприятия, стабилизацию состояния пациента при подготовке к транспортировке, профессору Винницкого национального медицинского университета им. Н.И. Пирогова Н.А. Станиславчуку за метко высказанное предположение о синдроме Гудпасчера на ранней стадии болезни только по клиническим показателям (без иммунологического подтверждения); заместителю главного врача Клинической больницы «Феофания» А.Н. Строканю за мозговой штурм и анализ литературы по проблеме; заместителю главного врача Клинической больницы «Фео­фания» В.Ю. Сакуну за общее руководство коллективом и организацию медицинской помощи; профессору Национальной медицинской академии последипломного образования им. П.Л. Шупика Д.Д. Иванову за подтверждение диагноза болезни Гудпасчера и определение тактики ведения; кандидату медицинских наук, доценту С.А. Ротовой за консультативную помощь в подготовке пациента к плановому гемодиализу и определению объемов нефропротективной терапии; кандидату медицинских наук, врачу отделения интерстициальных заболеваний легких Института пульмонологии и фтизиатрии им. Ф.Г. Яновского О.В. Шадриной за помощь в проведении дифференциального диагноза и оценке степени поражения легких; всем врачам, кто присоединился к лечению пациента, к проведению консилиумов, за интеллектуальную помощь в установлении диагноза и выборе методов лечения. Благодаря совместному мультидисциплинарному подходу к ведению больного и всеобщей поддержке пациент жив, продолжает сеансы почечно-заместительной терапии по месту жительства.

СПИСОК ИСПОЛЬЗОВАННОЙ ЛИТЕРАТУРЫ

Адрес для переписки:
Головач Ирина Юрьевна
03680, Киев, ул. Заболотного, 21
Клиническая больница «Феофания»
E-mail: golovachirina@gmail.com

No Comments » Додати свій
Leave a comment