Заctocуbаhhя mpt i узд у діагностиці octeoаptpoзу*

Коваленко В.Н.

MPT за останні роки стала одним із провідних методів неінвазивної діагностики. З 7G^ років XX ст., коли принципи магнітного резонансу (MP) вперше стали використовувати для дослідження організму людини, до сьогодні цей метод медичної візуалізації докорінно змінився і продовжує швидко розвиватися. Удосконалюються технічне оснащення, програмне забезпечення, розвиваються методики одержання зображень, розробляються MP-контрастні препарати. Це дозволяє постійно знаходити нові сфери застосування MPT. Якщо спочатку її застосування обмежувалося лише дослідженнями ЦНС, то зараз MPT із успіхом застосовують практично у всіх галузях медицини.

У 1946 р. групи дослідників зі Стендфордсь-кого та Гарвардського університетів незалежно один від одного відкрили явище, яке було названо ядерно-магнітним резонансом ^MP). Суть його полягала в тому, що ядра деяких атомів, перебуваючи в магнітному полі, під дією зовнішнього електромагнітного поля здатні поглинати енергію, а потім випускати її у вигляді радіосигналу. За це відкриття Ф. Блоч і Е. Пар-мель у 1952 р. були удостоєні Нобелівської премії. Новий феномен незабаром навчилися використовувати для спектрального аналізу біологічних структур (ЯMP-спектроскопiя). У 1973 р. Пол Ла-утербур винайшов, як використовувати градієнт та продемонстрував можливість одержати зображення тіла за допомогою ЯMP-сигналiв. Tак з’явилася ЯMP-томографiя. Pаймонд Дамадіан виявив, що злоякісна тканина відрізняється від нормальної за ЯMP-xарактеристиками. Перші ЯMP-томограми внутрішніх органів живої людини були продемонстровані у 1982 р. на Miжнародномy конгресі радіологів у Парижі.

Слід надати два пояснення. Незважаючи на те що метод ґрунтується на явищі ЯMP, його називають MP, опускаючи слово «ядерний». Це зроблено для того, щоб у пацієнтів не виникало думки про радіоактивність, пов’язану з розпадом ядер атомів. І друга обставина: MP-томографи не випадково «настроєні» саме на протони, тобто на ядра водню. Цього елементу в тканинах дуже багато, а ядра його мають найбільший магнітний момент серед усіх атомних ядер, що зумовлює досить високий рівень MP-сигналу.

Якщо в 1983 р. в усьому світі налічувалося лише кілька приладів, придатних для клінічних досліджень, то до початку 1996 р. у світі працювало близько 1G тис. томографів. Щорічно в практику вводиться 1 тис. нових приладів. Більше 9G% парку *В.М. Коваленко, О.П. Борткевич. ОСТЕОАРТРОЗ. Практична настанова. – 3-тє видання, доповнене, зі змінами. – К.: МОРІОН, 2010. – BOB с. – Із глави 7 «Інструментальна діагностика остео-артрозу», с. 173-23B.

MP-томографів становлять моделі з надпровідними магнітами (G,5-1,5 Хл).

Mоделi із середнім і навіть низьким полем відрізняються від систем із високим полем, у системах із низьким та середнім полем використовують магніти постійного типу та резистивні, у системах із високим полем використовуть надпровідні магніти. Постійні магніти мають такі переваги, як низьке споживання електроенергії та затрати на експлуатацію і первинне встановлення, при цьому немає необхідності забезпечення рідким гелієм, але ці магніти порівняно важкі, відсутня можливість аварійного відключення магнітного поля. У сучасних магнітах постійного типу використовується магнітне поле напругою G,35 Mагнiти рези-стивного типу мають свої недоліки та переваги над магнітами постійного типу; серед переваг слід відмітити відносно невелику вагу магніту, можливість відключення магнітного поля, але його недоліками є надвисокі затрати на електроенергію при експлуатації, що не надають йому переваги при виборі типу магніту при розгляді можливості встановлення у лікарському закладі системи з низьким полем. Ще одна з переваг постійного магніту -поле невпевненого прийому досить мале.

При розгляданні систем із високим полем слід відмітити значні технічні складнощі, пов’язані з кріогенним забезпеченням системи. Але незважаючи на це та високі ціни на надпровідні магніти вони найбільш широко використовуються. Це зумовлено їх технічними характеристиками – високою напругою та однорідністю магнітного поля, високим співвідношенням сигнал/шум. Крім того, лише на високопольних MP-сканерах можна отримати високу швидкість сканування, можливість проведення MP-спектроскопії, наукових досліджень.

На сьогодні в Україні представлені MP-томографи різних класів, серед яких особливе місце за якістю зображення, клінічними можливостям і швидкістю MP-досліджень займає «Siemens MAGNETOM Avanto Tim [76×18] SQ-engine» – одна з найбільш досконалих MP-систем у медицині в класі 1,5 ^ сканерів з унікальною технологією нульового випаровування гелію з періодичністю дозаправки гелію всього лише 1 раз на 1G років (http://dcmedex.com).

Це перша MP-система, оснащена унікальною технологією Tim, що дозволяє працювати клініці на принципово вищому рівні, як за якістю отримуваних діагностичних зображень, так і за спектром клінічних завдань, що вирішуються. Tеxнологiя матричних катушок дозволяє досліджувати будь-яку ділянку тіла без необхідності перекладання пацієнта і без перевстановлення катушок (аж до сканування всього тіла 2G5 см). «MAGNETOM Avanto» має можливість подальшої технологічної модернізації в майбутньому із збереженням наявного парку ка-тушок.

Принцип методу

Основними компонентами МР-томографа (рис. 7.35) є: надсильний магніт, радіопередавач, приймальна радіочастотна котушка, комп’ютер і пульт керування. Більшість апаратів мають магнітне поле з магнітним моментом, паралельним довгій осі тіла людини. Сила магнітного поля вимірюється в теслах (Тл). Для клінічної МРТ використовують поля із силою 0,2-1,5 Тл.

Коли пацієнта поміщають у сильне магнітне поле, усі протони, що є магнітними диполями, розвертаються в напрямку зовнішнього поля (подібно компасній стрілці, що орієнтується на магнітне поле Землі). Крім цього, магнітні осі кожного протона починають обертатися навколо напрямку зовнішнього магнітного поля. Цей специфічний обертовий рух називають процесією, а його частоту — резонансною частотою. При пропусканні через тіло пацієнта коротких електромагнітних радіочастотних імпульсів магнітне поле радіохвиль змушує магнітні моменти всіх протонів обертатися навколо магнітного моменту зовнішнього поля. Для того щоб це відбулося, необхідно, щоб частота радіохвиль дорівнювала резонансній частоті протонів. Це явище називають магнітним резонансом. Для зміни орієнтації магнітних протонів магнітні поля протонів і радіохвиль повинні резонувати, тобто мати однакову частоту.

Рис. 7.35. Основні компоненти МР-томографа

У тканинах пацієнта створюється сумарний магнітний момент: тканини намагнічуються та їх магнетизм орієнтується строго паралельно зовнішньому магнітному полю. Магнетизм пропорційний кількості протонів в одиниці об’єму тканини. Величезне число протонів (ядер водню), що містяться в більшості тканин, зумовлює той факт, що чистий магнітний момент досить великий для того, щоб індукувати електричний струм у розташованій поза пацієнтом приймаючій котушці. Ці індуковані МР-сигнали використовуються для реконструкції МР-зображення.

Процес переходу електронів ядра зі збудженого стану в рівноважний називається спін-ґратчастим релаксаційним процесом або поздовжньою релаксацією. Він характеризується Т1 — спін-ґратчастим часом релаксації — часом, необхідним для переводу 63% ядер у стан рівноваги після їх збудження 90° імпульсом. Виділяють також Т2 — спін-спіновий час релаксації.

Існує ряд способів одержання МР-томограм. їх відмінність полягає в порядку й характері генерації

радіочастотних імпульсів, методах аналізу MP-сигналів. Найбільш поширені два способи: спін-ґратчастий і спін-еховий. При спін-ґратчастому аналізують головним чином час релаксації T1. Piзнi тканини (сіра й біла речовина головного мозку, спинномозкова рідина, пухлинна тканина, хрящ, м’язи та ін.) мають у своєму складі протони з різним часом релаксації T1. Із тривалістю T1 пов’язана інтенсивність MP-сигналу: чим коротший T1, тим інтенсивніший MP-сигнал і тим світліше виглядає це місце зображення на телемоніторі. Жирова тканина на MP-томограмах – біла, слідом за нею за інтенсивністю MP-сигналу в порядку зменшення йдуть головний і спинний мозок, щільні внутрішні органи, судинні стінки та м’язи. Повітря, кістки і кальцинати практично не дають MP-сигналу і тому відображаються чорним кольором. Зазначене взаємовідношення часу релаксації T1 створює передумови для візуалізації нормальних та змінених тканин на MP-томограмах.

При іншому способі MP-томографії, названому спін-еховим, на пацієнта спрямовують серію радіочастотних імпульсів, що повертають прецесуючі протони на 9G°. Слідом за припиненням подачі імпульсів реєструють відповідні MP-сигнали. Однак інтенсивність відповідного сигналу по-іншому пов’язана із тривалістю T2: чим коротший T2, тим слабший сигнал і, отже, нижча яскравість світіння екрана телемонітора. Tаким чином, підсумкова картина MPT за способом T2 протилежна такій за способом T1 (як негатив позитиву).

У сучасних апаратах є опції турбо-режиму (turbo, наприклад турбо-спін-ехо – tse), що значно зменшує час для отримання зображень, внаслідок чого покращує якість зображення, виключаючи можливі артефакти руху під час тривалого сканування звичайними послідовностями (спін-ехо -se), використовується і швидке покращене спін-ехо (haste), для MP-холангіопанкреатографії з високою якістю отриманих зображень, наприклад на «Siemens MAGNETOM Avanto». Tакож за потребою суміжних медичних спеціалістів можлива комплектація спеціалізованими робочими станціями та програмами, що дозволяє визначати об’єми, зокрема синовіальної рідини, робити реконструкції отриманих зображень.

На MP-томограмах краще, ніж на комп’ютерних томограмах, відображаються м’які тканини: м’язи, жирові прошарки, хрящі, судини. На деяких апаратах можна одержати зображення судин, не вводячи в них контрастний засіб (MP-ангіографія). Внаслідок невисокого вмісту води в кістковій тканині остання не створює ефекту, що екранує, як при рентгенівській комп’ютерній томографії, тобто не заважає зображенню, наприклад спинного мозку, міжхребцевих дисків тощо. Звичайно, ядра водню містяться не лише у воді, але в кістковій тканині вони фіксовані в дуже великих молекулах та щільних структурах і не перешкоджають при MPT.

Переваги та недоліки методу

До основних переваг MPT належать неінвазивність, нешкідливість (відсутність проме-

невого навантаження), можливість отримання зображень у будь-яких площинах і можливість робити тривимірні реконструкції, природний контраст від крові, що рухається, відсутність артефактів від кісткових тканин, висока диференціація м’яких тканин, можливість виконання МР-спектроскопії для прижиттєвого вивчення метаболізму тканин in vivo. МРТ дозволяє одержувати зображення тонких шарів тіла людини у будь-якому перетині — у фронтальній, сагітальній, аксіальній та косих площинах. Можна реконструювати об’ємні зображення органів, синхронізувати одержання томограм із зубцями електрокардіограми.

До основних недоліків зазвичай відносять досить тривалий час, необхідний для одержання зображень (як правило, хвилини), що призводить до появи артефактів від дихальних рухів (у сучасніх МР-системах з високою напругою магнітного поля та градієнтом сканування може проводитися за час, що відповідає можливості затримки дихання пацієнта і не є обмеженням), аритмій (при дослідженні серця), не досить надійне виявлення каменів, кальцинатів, деяких видів патології кісткових структур, висока вартість обладнання та його експлуатації, спеціальні вимоги до приміщень, у яких розташовані прилади (екранування від перешкод), неможливість обстеження хворих із клаустрофобією, штучними водіями ритму, великими металевими імплантатами з неме-дичних металів.

Протипоказання до проведення МРТ

До абсолютних протипоказань відносять стани, при яких проведення дослідження є загрозливим для життя пацієнтів. Наприклад, наявність імплантатів, які активуються електронним, магнітним або механічними шляхами, — це перш за все штучні водії ритму. Вплив радіочастотного випромінювання МР-томографа може порушити функціонування стимулятора, що працює в системі запиту, оскільки зміни магнітних полів можуть імітувати серцеву діяльність. Магнітне притягання може викликати також зсув стимулятора у гнізді та зрушити електроди. Крім того, магнітне поле створює перешкоди для роботи феромагнітних або електронних імплантатів середнього вуха. Наявність штучних клапанів серця становить небезпеку і є абсолютним протипоказанням лише при дослідженні на МР-томографах із високими полями, а також якщо клінічно передбачається ушкодження клапана. До абсолютних протипоказань до дослідження належить також наявність невеликих металевих хірургічних імплантатів (гемостатичні кліпси) у ЦНС, тому що зсув їх внаслідок магнітного притягання загрожує кровотечею. їх наявність в інших частинах тіла має меншу загрозу, тому що після лікування фіброз та інкапсулювання затисків допомагають втримати їх у стабільному стані. Однак, крім потенційної небезпеки, наявність металевих імплантатів із магнітними властивостями в кожному разі викликає артефакти, що створюють трудності для інтерпретації результатів дослідження (табл. 7.10).

Таблиця 7.10

Протипоказання до проведення МРТ

Абсолютні Відносні
Кардіостимулятори Інші стимулятори (інсулінові насоси, нервові стимулятори)
Феромагнітні або електронні імплантати середнього вуха Неферомагнітні імплантати внутрішнього вуха, протези клапанів серця (у високих полях, при підозрі на дисфункцію)
Кровоспинні кліпси судин головного мозку Кровоспинні кліпси іншої локалізації, декомпенсована серцева недостатність, період вагітності, клаустрофобія, необхідність у фізіологічному моніторингу

До відносних протипоказань, крім вищезазначених, належать також серцева недостатність у стадії декомпенсації, необхідність фізіологічного моніторингу (механічна вентиляція легень, електричні інфузійні насоси, імплант з автоматичної подачі інсуліну та іншіх лікарських засобів). Клаустрофобія є перешкодою для проведення дослідження в 1-4% випадків. Подолати її можна, з одного боку, використанням приладів із відкритими магнітами, з іншого боку — докладним поясненням будови апаратури й ходу обстеження. Свідчень ушкоджувальної дії МРТ на ембріон або плід не одержано, однак рекомендовано уникати МРТ в I триместр вагітності. Застосування МРТ у період вагітності показано у тих випадках, коли інші неіонізуючі методи діагностичної візуалізації не дають задовільної інформації. МРТ-дослідження потребує більшої участі в ньому пацієнта, ніж комп’ютерна томографія, оскільки рухи хворого під час дослідження значно сильніше впливають на якість зображень, тому обстеження пацієнтів із гострою патологією, порушеною свідомістю, спастичними станами, деменцією, а також дітей нерідко буває утрудненим.

Контрастні речовини для МРТ

На початку використання МРТ вважалося, що природна контрастність між різними тканинами виключає необхідність застосування контрастних речовин. Згодом було виявлено, що різниця в сигналах між різними тканинами, тобто контрастність МР-зображення може бути суттєво поліпшена контрастними засобами. Коли перший МР-контрастний засіб (що містить парамагнітні іони гадолінію) став комерційно доступним, діагностична інформативність МРТ значно зросла. Суть застосування МР-контрастного засобу полягає в тому, щоб змінити магнітні параметри протонів тканин і органів, тобто змінити час релаксації (ТИ) Т1 і Т2 протонів. На сьогодні існує кілька класифікацій МР контрастних засобів (або, точніше, контрастних агентів — КА).

За переважним впливом на час релаксації МР-КА ділять на:

• Т1-КА, які вкорочують Т1 і тим самим підвищують інтенсивність МР-сигналу тканин. їх ще називають позитивними КА.

• Т2-КА, які вкорочують Т2, знижуючи інтенсивність МР-сигналу. Це негативні КА.

Залежно від магнітних властивостей МР-КА поділяються на парамагнітні і суперпарамагнітні:

Парамагнітні контрастні засоби. Парамагнітні властивості мають атоми з одним або кількома не-спареними електронами. Це магнітні іони гадолінію (Осі), хрому, нікелю, заліза, а також марганцю. Най-широке клінічне застосування одержали сполуки гадолінію. Контрастуючий ефект гадолінію зумовлений вкороченням часу релаксації Т1 і Т2. У низьких дозах переважає вплив на Т1, що підвищує інтенсивність сигналу. У високих дозах переважає вплив на Т2 зі зниженням інтенсивності сигналу. Парамагнетики нині найширше використовуються у клініко-діагностичній практиці.

Суперпарамагнітні контрастні засоби. Домінуючим впливом суперпарамагнітного оксиду заліза є вкорочення релаксації Т2. З підвищенням дози відбувається зниження інтенсивності сигналу. До цієї групи КА можна віднести й феромагнітні КА, до складу яких входять феромагнітні оксиди заліза, структурно подібні з феритом магнетиту (РеОРе203).

Нижченаведена класифікація ґрунтується на фармакокінетиці КА (Сергеев П.В. и соавт., 1995):

• позаклітинні (тканинонеспецифічні);

• шлунково-кишкові;

• органотропні (тканиноспецифічні);

• макромолекулярні, які використовують для визначення судинного простору.

В Україні відомі чотири МР-КА, які є позаклітинними водорозчинними парамагнітними КА (табл. 7.11), із них широко використовують гадодіамід і гадопен-тетову кислоту. Інші групи КА (2-4) проходять стадію клінічних випробувань за кордоном.

Таблиця 7.11

Позаклітинні водорозчинні МР-КА

Міжнародна назва Хімічна формула Структура
Гадопентетова кислота Гадолінію димеглюміну

діетилентриамінпентаацетат

((NMG)2Gd-DTPA)

Лінійна, іонна
Кислота гадоте-рова (NMG)Gd-DOTA Циклічна, іонна
Гадодіамід Гадолінію діетилентриамінпентаацетат-біс-метиламід (Gd-DTPA-BMA) Лінійна, неіонна
Гадотеридол Gd-HP-DO3A Циклічна, неіонна

Позаклітинні КА вводять внутрішньовенно, на 98% вони виділяються нирками, не проникають через гематоенцефалічний бар’єр, мають низьку токсичність, належать до групи парамагнетиків.

МРТ СУГЛОБОВОГО ХРЯЩА

MPT-картина суглобового хряща (рис. 7.36, 7.37) відображає сукупність його гістологічної будови та біохімічного складу (Jeffery A.K. et aI., 1991; Mow V.C. et aI., 1992). Суглобовий хрящ є гіаліновим, який не має власного кровопостачання, лімфатичного дренажу та іннервації. Він складається з води та іонів, волокон колагену II типу, хондроцитів, агрегованих протеогліканів та інших глікопротеїнів (Mow V.C. et aI., 1992; Watt I., 2GGG). Колагенові волокна прикріплюються в субхон-дральному шарі кістки, як якір, і йдуть перпендикулярно до поверхні суглоба, де вони розходяться горизонтально (Jeffery A.K. et aI., 1991). Miж

волокнами колагену розташовані великі молекули протеоглікану, що мають значний негативний заряд, який інтенсивно притягує молекули води. Хондроцити хряща розміщені рівними колонами. Вони синтезують колаген і протеоглікани, а також розщеплювальні ферменти в неактивній формі та інгібітори ферментів.

Гістологічно визначено 3 шари хряща у великих суглобах, таких як колінний і стегновий (Cova M. et al., 1998; Uhl M. et al., 1998). Найглибший шар становить з’єднання хряща й субхондральної кістки та виконує роль шара, що прикріплює велику мережу колагенових волокон, що поширюються від нього до поверхні щільними пучками, з’єднаними численними перехресними єднальними фібрилами. Він названий радіальним шаром. У напрямку до суглобової поверхні окремі колагенові волокна стають тонші та зв’язуються разом у більш регулярні й компактні паралельні масиви із меншою кількістю перехресних зв’язків (Rubеnstein J.D. et al., 1993). Середній шар — перехідний, або проміжний, містить більше невпорядкованих колагенових волокон, більшість з яких косо орієнтована з метою протистояння вертикальним навантаженням, тиску й поштовхам (Mow V.C. et al., 1992). Найбільш поверхневий шар суглобового хряща, відомий як тангенційний, — тонкий шар щільно влаштованих, тангенційно орієнтованих колагенових волокон, що протистоять розтягувальним силам, що діють при навантаженні стисканням і формують водонепроникний бар’єр для інтерстиціальної рідини, що запобігає її втратам у процесі стискання (Mow V.C.

et al., 1992). Найбільш поверхневі колагенові волокна цього шару розташовані горизонтально, утворюють щільні горизонтальні пластини на суглобовій поверхні, хоча фібрили поверхневої тангенційної зони необов’язково з’єднані з такими більш глибоких шарів (Hwang W.S. et al., 1992).

Як відзначено, всередині цієї складної пористої мережі волокон розташовані агреговані гідрофільні молекули протеогліканів (Mow V.C. et al., 1992). Ці великі молекули мають на кінцях своїх численних відгалужень негативно заряджені фрагменти SO3 і COO, які інтенсивно притягують протилежно заряджені іони (зазвичай №+), що, у свою чергу, сприяє осмотичному проникненню води у хрящ. Тиск усередині колагенової мережі величезний, а хрящ функціонує як надзвичайно ефективна гідродинамічна подушка. Компресія суглобової поверхні викликає горизонтальний зсув води, що втримується у хрящі, оскільки мережа колагенових волокон стискується. Вода перерозподіляється всередині хряща так, що його загальний обсяг не може змінитися. Коли компресія після навантаження суглоба зменшується чи зникає, вода рухається назад, внаслідок притягання негативним зарядом протеогліканів (Watt I., 2000). Такий механізм підтримує високий вміст води і тим самим високу протонну щільність хряща. Найвищий вміст води відзначається ближче до суглобової поверхні та знижується в напрямку до субхондральної кістки (Mow V.C. et al., 1992; Paul P.K. et al., 1993). Концентрація ж протеогліканів підвищена в глибоких шарах хряща (Paul P.K. et al., 1993).

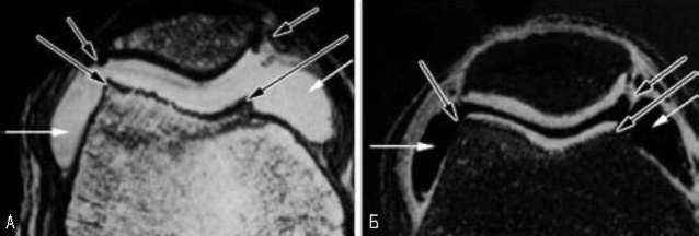
На сьогодні МРТ — це основний спосіб одержання зображення гіалінового хряща, що здійснюється в основному при використанні градієнт-ехо (GE) послідовностей (Watt I., 2000) (див. рис. 7.36, рис. 7.38). МРТ відображає вміст води у хрящі. Однак важливо, яку кількість протонів води містить хрящ. Вміст і розподіл гідрофільних молекул протеогліканів та анізотропна організація колагенових фібрил впливає не лише на сумарну кількість води, тобто протонну щільність, у хрящі, але й на стан релаксаційних властивостей, а саме Т2 цієї води, даючи хрящу характерні «зональні» або розшаровні зображення на МРТ, які, як вважають деякі дослідники, відповідають гістологічним шарам хряща (Fry M.E. et al., 1991; Modl J.M. et al., 1991; Paul P.K. et al., 1993; Cova M. et al., 1998; Uhl M. et al., 1998) (рис. 7.39, 7.40).

Рис. 7.38. ОА ПФВ суглоба. Аксіальні Т2-ОБ-зображення: А — суглобовий хрящ погано візуалізується; Б — техніка вирахування переносу намагніченості дозволяє чітко продемонструвати суглобовий хрящ. Обидва зображення виявляють формування остеофітів по краях суглоба (чорні стрілки) і надлишкову кількість синовіальної рідини — випіт (білі стрілки)

На дуже коротких зображеннях часу ехо (ТЕ) (

На проміжних ТЕ-зображеннях (5-40 мс) хрящ має тришаровий вигляд: поверхневий шар із низьким сигналом; перехідний шар із сигналом проміжної інтенсивності; глибокий шар, що має низький MP-сигнал (Peterfy C.G., Genant H.K., 1996; Dardizinski B. et aI., 1997). При Т2-зваженні сигнал не включає проміжний шар, і зображення хряща стає гомогенно низької інтенсивності. Коли використовується низька просторова розрізненість, на коротких ТЕ-зображеннях іноді з’являється додатковий шар, що відбувається внаслідок артефактів косих зрізів і високого контрасту на поверхні хрящ/рідина (Rubenstein J.D. et aI., 1993), цього можна уникнути шляхом збільшення розміру матриці.

Крім того, деякі із цих зон (шарів) можуть бути невидимі за певних умов. Наприклад, при зміні кута між віссю хряща й основним магнітним полем вигляд хрящових шарів може змінюватися, а хрящ може мати гомогенне зображення. Цей феномен автори пояснюють анізотропною властивістю колагенових волокон і різною орієнтацією їх всередині кожного шару (FuIIerton G. et aI., 1985; Rubenstein J.D. et aI., 1993; Peterfy C.G., Genant H.K., 1996).

!нші автори вважають, що одержання пошарового зображення хряща невірогідне і є артефактом. Думки дослідників розходяться також щодо інтенсивності сигналів від отриманих тришарових

зображень хряща. Дані дослідження дуже цікаві й потребують, звичайно ж, подальшого вивчення.

СТРУКТУРНІ ЗМІНИ ХРЯЩА ПРИ OA

На ранніх стадіях ОА відбувається деградація колагенової мережі в поверхневих шарах хряща, що призводить до розволокнення поверхні й підвищеної проникності для води (Dodge G.R., Poole A.R., 1989). У міру руйнування частини протеогліканів з’являється більше негативно заряджених глікозаміногліканів, які притягують катіони й молекули води, у той же час, протеоглікани, що залишилися, втрачають здатність притягувати та утримувати воду (Lehner K.B. et al., 1989; Buckwalter J. et al., 199G; Mow V.C. et al., 199G; 1992). Крім того, втрата протеогліканів знижує їх гальмуючий вплив на інтерстиціальну течію води. У результаті хрящ набрякає, «не спрацьовує» механізм стиснення (утримання) рідини та знижується компресійна стійкість хряща. Відбувається ефект переносу більшої частини навантаження на вже ушкоджений твердий матрикс (Mow V.C. et al., 1992), а це призводить до того, що набряклий хрящ стає більш сприйнятливим до механічних ушкоджень. Врешті хрящ або відновлюється, або продовжує руйнуватися.

Крім ушкодження протеогліканів частково руйнується й колагенова мережа, яка вже не відновлюється, і в хрящі з’являються вертикальні щілини й виразки. Ці ушкодження можуть поширюватися вниз по хрящу до субхондральної кістки. Продукти розпаду й суглобова рідина поширюються до базального шару, що призводить до появи дрібних, а надалі — великих ділянок остеонекрозу (рис. 7.41 а-д) і субхон-дральних кіст (рис. 7.42а-в) (Watt I., 2GGG).

Паралельно з цими процесами хрящ піддається ряду репаративних змін зі спробою відновлення ушкодженої суглобової поверхні, що включають формування хондрофітів. Останні згодом піддаються енхондральній осифікації та стають остеофітами.

Гостра механічна травма і компресійне навантаження можуть призвести до розвитку горизонтальних тріщин у глибокому кальцинованому шарі хряща (Vener M.J. et al., 1992) та відшаруванню хряща від субхондральної кістки (Armstrong C.G., Mow V.C., 1982). Базальне розщеплення чи делімінація хряща подібним чином може служити механізмом дегенерації не тільки нормального хряща в умовах механічного перевантаження, але й при ОА, у разі нестабільності суглоба. Якщо гіаліновий хрящ повністю зруйнований і оголена суглобова поверхня, то можливі два процеси: перший — утворення щільного склерозу на поверхні кістки, який називається ебурнеацією; другий — ушкодження та компресія трабекул, що на рентгенівських знімках виглядає як субхондраль-ний склероз. Відповідно, перший процес можна розглядати як компенсаторний, другий же явно є фазою руйнування суглоба (Watt I., 2GGG).

Підвищення вмісту води в хрящі підвищує протонну щільність хряща й усуває Т2-укорочуючі ефекти протеоглікан-колагенового матрикса (Konig H. et al., 1987), який має високу інтенсивність сигналу в ділянках ушкодження матрикса на звичайних МРТ послідовностях. Ця рання хондромаляція,

що є найбільш ранньою ознакою ураження хряща, може бути помітна до того. як відбудеться навіть незначне його стоншення. У цій стадії також можлива наявність слабкого потовщення чи «розбухання» хряща. Структурні й біомеханічні зміни суглобового хряща постійно наростають. відбувається втрата основної речовини. Ці процеси можуть бути локальними чи дифузними. обмеженими поверхневим стоншенням і розволокненням або ж повним зникненням хряща. У деяких випадках локальне потовщення чи «розбухання» хряща може спостерігатися без розриву суглобової поверхні (Hwang W.S. et al., 1992). При ОА часто можна спостерігати локальне підвищення інтенсивності сигналу хряща на Т2-зважених зображеннях, що підтверджується артроскопічно наявністю поверхневих, трансмуральних і глибоких лінійних змін (Rose P.M. et al., 1994). Останні можуть відображати глибокі дегенеративні зміни, що починаються головним чином у вигляді відшарування хряща від кальцинованого шару або лінії припливу (Armstrong C.G., Mow V.C., 1982; Vener M.J. et al.. 1992). Ранні зміни можуть обмежуватися тільки глибокими шарами хряща, у цьому разі вони не виявляються при артроскопічному огляді суглобової поверхні, хоча локальне розволокнення глибоких шарів хряща може вести до ураження суміжних шарів, часто з розростанням субхондральної кістки у формі центрального остеофіта.

У зарубіжних джерелах літератури є дані про можливість одержання кількісної інформації про склад суглобового хряща, наприклад про вміст фракції води та дифузійний коефіцієнт води в хрящі (ВигвТеіп й. ет аі., 1993; Хіа У. ет аі., 1994). Це досягається за допомогою спеціальних програм МР-томографа чи при МР-спектроскопії. Обидва ці параметри збільшуються при ушкодженні протеоглікан-колагенового матрикса при ураженні хряща. Концентрація рухливих протонів (вміст води) у хрящі знижується у напрямку від суглобової поверхні до субхондральної кістки.

Кількісна оцінка змін можлива й на Т2-зважених зображеннях (йагс^іпвкі В. et аі., 1997). Узагальнивши дані зображень того самого хряща, отримані з різними ТЕ, автори оцінювали Т2-зважені зображення (ЗЗ) хряща за допомогою відповідної експоненційної кривої від отриманих величин інтенсивності сигналу на кожний піксель. Т2 оцінюється в певній зоні хряща або відображується на карті всього хряща, в якій інтенсивність сигналу кожного пікселя відповідає Т2 у цьому місці (рис. 7.43) (Оагс^іпвкі В. et аі., 1997). Однак, незважаючи на досить великі можливості й відносну легкість вищеописаного методу, роль Т2 недооцінюється, частково внаслідок підвищення дифузійно-пов’язаних ефектів зі збільшенням ТЕ (Хіа У. et аі., 1997). В основному недооцінюють Т2 у хрящі при хондромаляції, коли дифузія води підвищена. Якщо не застосовувати спеціальних технологій, потенційне збільшення Т2, що вимірюється при цих технологіях у хрящі при хондромаляції, буде незначно пригнічувати дифузійно-пов’язані ефекти.

Таким чином, МРТ — досить перспективний метод для виявлення та моніторингу ранніх структурних змін, характерних для дегенерації суглобового хряща.

МОРФОЛОГІЧНІ ЗМІНИ ХРЯЩА ПРИ ОА

Оцінка морфологічних змін хряща залежить від високої просторової розрізненості

та високої контрастності від поверхні суглоба до субхондральної кістки. Це найкраще досягається застосуванням жиропригнічуваної Т1-зваженої 3D GE-послідовності (Peterfy C.G., Genant H.K., 1996), яка точно відображає виявлені локальні дефекти, що верифікуються як при артроскопії, так і на аутопсійному матеріалі. Зображення хряща також може бути одержане з переносом намагніченості шляхом віднімання зображень, тоді суглобовий хрящ має вигляд окремої смуги з високою інтенсивністю сигналу, що чітко контрастує із поруч розташованими низькоінтенсивними суглобовою рідиною, інтраартикулярною жировою тканиною та субхондральним кістковим мозком. Однак при використанні цього методу одержання зображення відбувається в 2 рази повільніше, ніж жиропригнічуване Т1-ЗЗ, тому не так широко застосовується (Peterfy C.G. et al., 1994а; b).

Крім того, можливе одержання зображень локальних дефектів, нерівності поверхні та генералізованого стоншення суглобового хряща із використанням звичайних МР-послідовностей (рис. 7.44). За даними деяких авторів, морфологічні параметри — товщина, обсяг, геометрія й топографія поверхні хряща — можуть бути кількісно обчислені за допомогою 3D МРТ-зображень (Peterfy C.G. et al., 1998). Шляхом сумації вокселів, що становлять 3D-реконструйоване зображення хряща, може бути визначено точне значення цих комплексно пов’язаних структур. Більше того, вимірювання загального обсягу хряща, отриманого з окремих зрізів, є більш простим методом у зв’язку з меншими змінами у площині одного зрізу й більш достовірним у просторовому розрізненні. При вивченні цілих ампутованих колінних суглобів і зразків надколінків, отриманих під час артропластики цих суглобів, визначали загальний обсяг суглобового хряща стегнової, великогомілкової кісток і надколінка та виявили кореляції обсягів, отриманих при МРТ та відповідних обсягів, визначених при відділенні хряща від кістки й вимірюванні його гістологічно (Peterfy C.G. et al., 1994b). Отже, ця технологія може бути корисна для динамічної оцінки змін обсягу хряща у пацієнтів з OA. Одержання необхідних і точних зрізів суглобового хряща, особливо у пацієнтів з ОА, потребує достатніх навичок і досвіду лікаря, що проводить дослідження, а також наявності відповідного програмного забезпечення МР-томографа.

Вимірювання загального обсягу містять небагато інформації про розповсюджені зміни та чутливі, відповідно, для локальної втрати хряща. Теоретично втрату хряща чи його стоншення на одній ділянці може врівноважити еквівалентне збільшення обсягу хряща в іншім місці суглоба, і вимірювання загального обсягу хряща не показало будь-якого відхилення від норми, тому такі зміни не піддавалися б визнач

No Comments » Додати свій
Leave a comment